Close

Before and After Smiles

Discover these amazing smile transformations.

Full Mouth Reconstruction

Smile gallery. Image of unattended worn down teeth resulting to severe bite loss.

Before:

Patient had severe bite loss due to unattended worn down teeth.

Smile gallery. Restored worn down teeth using full mouth crown and bridgework.

After:

Patient’s bite was restored using full mouth crown and bridgework.

Patient Photos Depicting:

Note: Patients depicted in photos have provided their consent to display their pictures online. Results may vary.

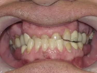
Smile gallery. Image of severely deteriorated teeth. Yellow teeth.

Before:

Patient had severely deteriorated teeth.

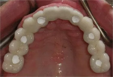
Smile gallery. Restored deteriorated teeth with a full set of upper and lower crowns.

After:

Patient’s teeth were restored with a full set of upper and lower crowns.

Patient Photos Depicting:

Note: Patients depicted in photos have provided their consent to display their pictures online. Results may vary.

Teeth-In-An-Hour

Smile gallery. Image of teeth with severely compromised roots and old deteriorated crowns.
Smile gallery. Digital image of a dental plan for teeth with compromised roots.

Before:

A 55-year-old woman with severely compromised roots and old deteriorated crowns requiring extraction of all of her remaining teeth.

Smile gallery. Restored smile using implantation and permanent crowns.
Smile gallery. View from under a patient's upper teeth showing implant placement.

After:

Patient’s mouth was reconstructed using immediate implant placement and, at the same time, given a temporary prosthesis. Her mouth was finally restored with permanent crowns four months later.

Patient Photos Depicting:

Note: Patients depicted in photos have provided their consent to display their pictures online. Results may vary.

Crown and Bridge Implants

Smile gallery. Lost upper left central incisor due to breakage.

Before:

Patient lost her upper left central incisor due to breakage.

Smile gallery. Restored broken tooth with an implant and all ceramic crown.

After:

Patient’s tooth was restored with an implant and all ceramic crown.

Patient Photos Depicting:

Note: Patients depicted in photos have provided their consent to display their pictures online. Results may vary.

Full & Partial Dentures

Smile gallery. Image of patient showing a loose fitting upper denture.
Smile gallery. Image of dental implant placement to the upper gums

Before:

Patient presented with a loose fitting upper denture.

Smile gallery. Restored mouth using implant treatment with the use a bar overdenture.
Smile gallery. Image of bar overdenture.

After:

Patients mouth was restored using implant treatment with the use a bar overdenture.

Patient Photos Depicting:

Note: Patients depicted in photos have provided their consent to display their pictures online. Results may vary.

Take a peek inside our dental office.

What Our Practice Looks

Take a peek inside our dental office.

What Our Practice Looks

Book an Appointment

Fill the form below to book an appointment or call
416 733 2591 for emergency

Popup Request Appointment Form

Book an Appointment

Fill the form below to schedule your appointment or call (289) 815-5385 for emergency.
Popup Form

Book an Appointment

Fill the form below to schedule your appointment or call 416 733 2591 for emergency.
Popup Form
form.fluent_form_4 .wpf_has_custom_css.ff-btn-submit { background-color:rgba(251, 203, 11, 1);border-color:rgba(251, 203, 11, 1);color:#2D2D2D;min-width:100%; }form.fluent_form_4 .wpf_has_custom_css.ff-btn-submit:hover { background-color:rgba(251, 152, 11, 1);border-color:rgba(251, 152, 11, 1);color:#FFFFFF; }
window.fluent_form_ff_form_instance_4_5 = {"id":"4","settings":{"layout":{"labelPlacement":"top","helpMessagePlacement":"with_label","errorMessagePlacement":"inline","asteriskPlacement":"asterisk-right"},"restrictions":{"denyEmptySubmission":{"enabled":false}}},"form_instance":"ff_form_instance_4_5","form_id_selector":"fluentform_4","rules":{"names[first_name]":{"required":{"value":true,"message":"This field is required","global":false,"global_message":"This field is required"}},"names[middle_name]":{"required":{"value":false,"message":"This field is required","global":false,"global_message":"This field is required"}},"names[last_name]":{"required":{"value":false,"message":"This field is required","global":false,"global_message":"This field is required"}},"email":{"required":{"value":true,"message":"This field is required","global":false,"global_message":"This field is required"},"email":{"value":true,"message":"This field must contain a valid email","global":false,"global_message":"This field must contain a valid email"}},"phone":{"required":{"value":false,"message":"This field is required","global":false,"global_message":"This field is required"},"valid_phone_number":{"value":true,"message":"Phone number is not valid","global":false,"global_message":"Phone number is not valid"}},"description":{"required":{"value":false,"message":"This field is required","global":false,"global_message":"This field is required"}}},"debounce_time":300};